بسیاری از افراد بالای ۴۰ سال دچار درجاتی از بیرونزدگی یا تخریب دیسک هستند. جراحی تعویض دیسک یکی از گزینههایی است که میتواند این مشکل را برطرف کند.
عملاً بیشتر افراد بالای ۴۰ سال از نوعی تخریب یا فرسایش دیسک رنج میبرند (بیماری دژنراتیو دیسک). در این بیماری، دیسکهای بین مهرهای ضعیف میشوند و درنتیجه درد، کاهش دامنه حرکتی و افت کیفیت زندگی را ایجاد میکنند.
تعویض دیسک مصنوعی (آرتروپلاستی دیسک بینمهرهای) یا تعویض کامل دیسک (آرتروپلاستی ستون فقرات)، نوعی جراحی ستون فقرات است که طی آن دیسک آسیبدیده با یک مفصل مصنوعی جایگزین میشود. در این عمل، جراح ستون فقرات، دیسک مشکلدار را خارج کرده و یک پروتز فلزی یا پلاستیکی را میان مهرهها قرار میدهد.
تعویض دیسک مصنوعی برای برخی از بیماران میتواند گزینه بسیار مناسبی برای جراحی ستون فقرات باشد، زیرا امکان تحرک بسیار بیشتری نسبت به جراحی جوش دادن مهرهها (فیوژن) ایجاد میکند.
انواع مختلفی از عمل جراحی تعویض دیسک وجود دارد. در ادامه این مقاله همراه ما باشید تا تمام سوالات خود را درباره این نوع جراحی پاسخ بگیرید.
نقش دیسکها در ستون فقرات
ستون فقرات مجموعهای از مهرههاست که در ناحیه گردن و کمر روی هم قرار دارند. با حرکت این مهرهها روی هم، خم کردن و چرخش کمر و گردن امکانپذیر میشود. بین اکثر جفتهای مهرهای، یک دیسک قرار دارد.
این دیسکهای بینمهرهای سه نقش مهم در بدن دارند:
- جذب ضربه و فشار
دیسکها خاصیت ضربهگیری دارند و فشار فعالیتهای سنگین را از ستون فقرات کاهش میدهند. - حفظ فاصله میان مهرهها
دیسکها نهتنها مانع ساییدگی استخوانها به یکدیگر میشوند، بلکه فاصله طبیعی و فیزیولوژیک میان مهرهها را حفظ میکنند تا تارهای عصبی بتوانند بدون فشار یا تحریک از مجرای نخاعی عبور کنند. - ایجاد امکان حرکت
اگر مهرههای ستون فقرات هیچ حرکتی نداشتند، ستون فقرات بسیار محکم و بدون انعطاف بود. وجود دیسکها باعث انعطاف و تحرک گردن و کمر میشود و دامنه حرکتی کامل به جلو و عقب را فراهم میکند.
چرا دیسکهای طبیعی با دیسکهای مصنوعی جایگزین میشوند؟
دیسکهای بین مهرهای ممکن است به دلایل مختلفی دچار آسیب شوند. در چنین شرایطی، یکی از بهترین راهها برای کاهش درد ناشی از این مشکل، تعویض دیسک است.
تعویض دیسک مصنوعی به افرادی توصیه میشود که دچار مشکلات زیر هستند:
- بیماری دژنراتیو دیسک؛ این بیماری ناشی از فرسودگی طبیعی و تدریجی دیسکهای بین مهرهای بهواسطه افزایش سن، حرکات و فشارهای فیزیکی است.
- فتق دیسک (هرنی دیسک)؛ در این حالت، دیسک بین مهرهای از جای اصلی خود در ستون فقرات بیرون زده و موجب فشار بر کانال نخاعی و عصبهای ناحیه کمر یا گردن میشود. این فشارها باعث ایجاد کمردرد یا گردندرد مزمن خواهد شد.
- تنگی کانال نخاعی (Spinal Stenosis)؛ در این عارضه، کانال نخاعی که مسیری برای عبور رشتههای عصبی است، تنگ میشود و در نتیجه میتواند درد ایجاد کند.
نحوه تعویض دیسک چگونه است؟
زمانی که دیسک فرسوده از ستون فقرات خارج میشود، صفحههای بالایی و پایینی دیسک مصنوعی به مهره متصل خواهند شد. پس از جایگذاری این صفحات، بخش مرکزی (هسته) که اصطلاحاً core نامیده میشود میان آنها قرار میگیرد. این هسته مرکزی امکان خم شدن و انعطاف را در ستون فقرات فراهم میکند تا حرکت ستون فقرات مشابه حالت طبیعی باقی بماند.

انواع روشهای تعویض دیسک
تعویض دیسک از نظر نوع جراحی و محل انجام به چند دسته تقسیم میشود:
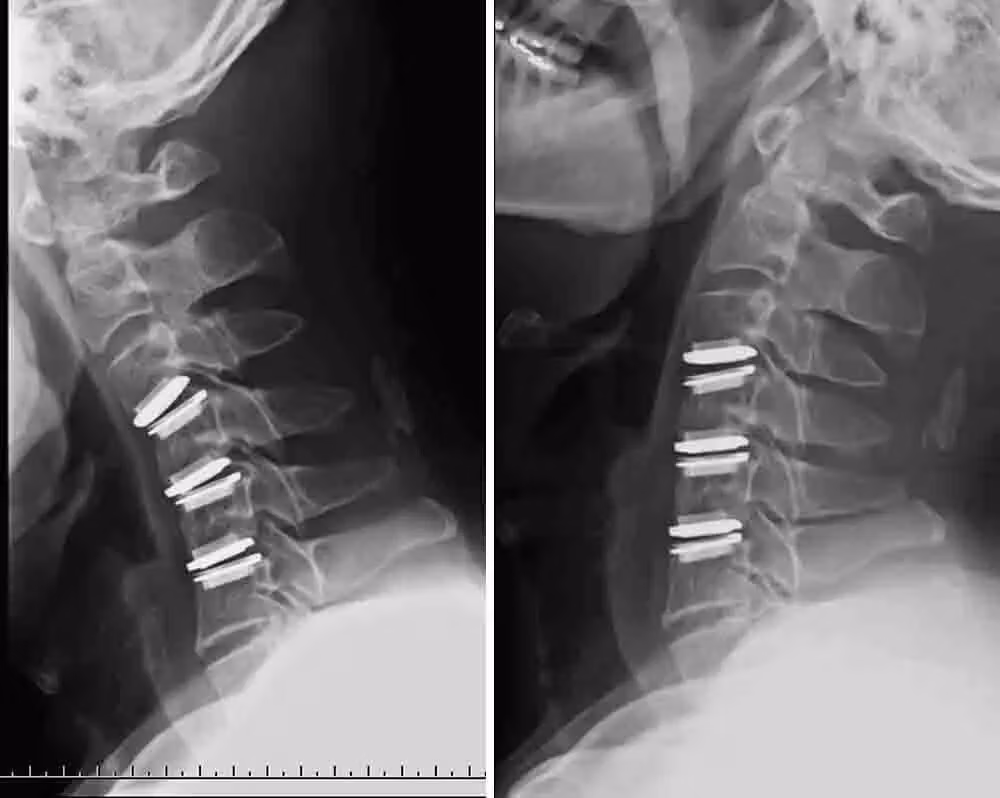
۱. تعویض دیسک گردنی
در این روش، جراح برشی به طول سه تا چهار سانتیمتر در بخش جلویی گردن ایجاد میکند تا به مهرههای گردنی دسترسی داشته باشد. سپس دیسک آسیبدیده را بیرون میآورد و سطح مهرهها را صاف میکند. صفحههای فلزی به مهرهها متصل و پیچ میشوند. در نهایت، یک هسته پلیمر بین این صفحات قرار داده میشود تا نقش دیسک را ایفا کند. در پایان، این صفحات فلزی به مهرهها جوش میخورند.
از جمله دیسکهای مصنوعی متداول در این روش میتوان به Prodisc-C، Mobi-C، Medtronic Prestige LP و M6-C اشاره کرد.

۲. تعویض دیسک کمری
در روش تعویض دیسک کمری، جراح یک برش ۷ تا ۱۰ سانتیمتری در ناحیه شکم و اطراف ناف ایجاد میکند. برای دسترسی به ستون فقرات، رودهها و عروق کناری کنار زده میشوند و سپس صفحات و هسته پلیمری داخل فضای بین مهرهای قرار داده میشوند.
دیسکهای مصنوعی کمری شامل CHARITÉ Artificial Disc، Prodisc-L و ACTIV-L هستند.

۳. تعویض کامل دیسک کمری از مسیر جانبی (Lateral)
در این روش، دسترسی به ستون فقرات از ناحیه پشت (پهلوی بدن) بهجای شکم انجام میشود. این رویکرد سبب کاهش خطر آسیب به بافتهای شکمی میشود و مدت بستری و دوره نقاهت را کوتاهتر میکند.
۴. جراحی ترکیبی (Hybrid Surgery)
اگر دو دیسک مجاور دچار مشکل باشند، جراح ممکن است از روش ترکیبی استفاده کند. در این روش، یک دیسک جایگزین شده و دیسک دیگر در کنار آن جوش داده میشود. در واقع این مدل ترکیبی از عمل فیوژن (جوش دادن مهرهها) و تعویض دیسک بهصورت همزمان است.

چه کسانی کاندید تعویض دیسک هستند؟
افراد زیادی، اما نه همه کسانی که مشکل دیسک کمر یا گردن دارند، میتوانند کاندید تعویض دیسک باشند. اصلیترین دلیل انجام تعویض دیسک مصنوعی، بیماری دژنراتیو دیسک است که ممکن است با درد رادیکولار نیز همراه باشد. این درد بر اثر فشار یا التهاب عصبهای موجود در ستون فقرات ایجاد میشود.

در افرادی که کاندید تعویض دیسک هستند، درد کمر یا گردن معمولاً بهقدری شدید است که توان کار یا ورزش معمول را از آنها سلب میکند.
بهطور کلی، بیشتر افراد باید حداقل شش ماه درد مزمن کمر یا گردن داشته باشند که به روشهای غیرجراحی پاسخ نداده باشد. یعنی پس از درمانهای گرمایی، فیزیوتراپی، مسکنهای خوراکی یا تزریق کورتیکواستروئیدها، اگر همچنان درد شدید و غیرقابلتحمل باقی بماند، فرد میتواند کاندید تعویض دیسک شود.
میزان موفقیت جراحی تعویض دیسک
این روش درمانی تقریباً در هر سنی قابل انجام است، اما بهترین نتایج در افراد جوان و میانسال (۱۸ تا ۶۰ سال) دیده میشود. نکته مهم این است که مهرههای اطراف دیسک مصنوعی باید آنقدر سالم باشند که بتوانند از آن پشتیبانی کنند. بههمین دلیل، افرادی که در گذشته جراحی ناموفق ستون فقرات داشتهاند یا مبتلا به پوکی شدید استخوان (استئوپروز)، شکستگی مهرهها یا اسپوندیلیت آنکیلوزان هستند، کاندیدهای مناسبی برای تعویض دیسک مصنوعی محسوب نمیشوند و نرخ موفقیت این عمل در آنها تقریباً صفر است.

مزایای تعویض دیسک مصنوعی
مطالعات مختلف در زمینه تعویض دیسک بینمهرهای نشان داده است که این روش:
- درد مزمن کمر یا گردن را بهطور قابلتوجهی کاهش میدهد یا از بین میبرد.
- پس از عمل، برخلاف فیوژن، ستون فقرات همچنان میتواند حرکتی طبیعی داشته باشد.
- کیفیت زندگی بیماران را بهبود میبخشد.
- نیازی به پیوند استخوان (Bone Graft) ندارد.
- دوره نقاهت و زمان ریکاوری آن کوتاهتر از جراحی فیوژن است.
- دیسکهای مصنوعی بیش از ۷۰ سال عمر میکنند و در درازمدت ماندگار هستند.
خطرات تعویض دیسک مصنوعی
مانند هر عمل جراحی دیگری، جراحی تعویض دیسک نیز ریسکهای بالقوهای دارد. احتمال بروز این مشکلات بسته به عوامل مختلف، از جمله وضعیت عمومی سلامت بیمار، متفاوت است. این خطرات را میتوان در چند گروه دستهبندی کرد:
ریسکهای عمومی تعویض دیسک
- پارگی دورا (غشای محافظ اطراف اعصاب نخاعی) که میتواند منجر به نشت مایع نخاع شود.
- عفونت
- خونریزی پس از عمل
- آسیب عصبی که باعث ضعف یا بیحسی میشود.
- لختههای خونی (ترومبوز ورید عمقی یا آمبولی ریه)
- آسیب یا جابجایی پروتز
ریسکهای اختصاصی در جراحی تعویض دیسک گردنی
- مشکل موقت در بلع
- از دست دادن موقت صدا
ریسکهای اختصاصی در جراحی تعویض دیسک کمری
- آسیب به روده کوچک یا بزرگ
- صدمه به حالبها (لولههایی که ادرار را از کلیهها به مثانه منتقل میکنند)
- کاهش موقت حرکات روده
- ایجاد مشکل در انزال مردان؛ شرایطی که در آن مایع منی بهجای خروج از آلت، وارد مثانه میشود.
عوارض طولانیمدت تعویض دیسک
- بروز مشکل در مهرههای مجاور
- ساییدگی پروتز
- عدم تسکین درد (یا حتی بدتر شدن علائم)
- عدم موفقیت جراحی که ممکن است نیاز به جراحی مجدد یا روش دیگری مثل فیوژن مهرهها داشته باشد.
آیا بعد از تعویض دیسک میتوان MRI انجام داد؟
اینکه بعد از تعویض دیسک بینمهرهای، نتیجه MRI دقیق باشد یا نه، مستقیماً به نوع و جنس پروتز استفاده شده بستگی دارد. برخی از دیسکهای مصنوعی از موادی ساخته شدهاند که تداخل چندانی در تصویربرداری ایجاد نمیکنند، اما برخی دیگر ممکن است کیفیت تصویر را مختل کنند.
نکات مهم قبل از اقدام به تعویض دیسک
اگر قصد انجام تعویض دیسک مصنوعی را دارید، حتماً توجه داشته باشید:
- تعویض دیسک مصنوعی برای هر نوع درد ستون فقرات یا هر نوع بیماری مناسب نیست.
- پزشک تنها در صورتی این جراحی را پیشنهاد میدهد که شدت علائم شما بالا باشد و درمانهای دیگر کارساز نبوده باشند.
- انتخاب یک جراح باتجربه برای رسیدن به بهترین نتایج، ضروری است.
هزینه تعویض دیسک کمری و گردنی بسته به نوع دیسک مصنوعی مورد استفاده، نوع بیمارستان، دستمزد جراح و موقعیت جغرافیایی متفاوت است. هزینه کلی شامل دستمزد جراح، متخصص بیهوشی، هزینه پروتز و امکانات بیمارستان خواهد بود. برای مثال در ایران، بسیار متفاوت هست و حتما باید با پزشک و بیمارستان مورد نظر مشورت کرد.
همچنین برای اطلاعات کامل در خصوص ستون فقرات، مقاله ستون فقرات؛ چهارچوب بدن شما، سلامت شما از اینجا شروع میشود. را بخوانید.




